가톨릭대 인천성모병원 이관용 교수

본격적인 추위가 시작 되면서 일교차도 크게 벌어졌다. 이럴 때는 신체에도 여러 가지 변화를 일으킬 수 있어 노약자나, 어린이, 만성질환을 가지고 있다면 건강에 각별히 신경을 쓰는 것이 좋다. 특히 겨울이 시작되는 시점부터 겨울 동안 주의해야 할 것이 바로 심뇌혈관 질환이다.
통계청에 따르면 2017년 심뇌혈관 질환으로 사망한 사람의 수는 7월(4,377명)과 8월(4,348명)에 가장 적었고, 12월(5,775명)과 1월(5,660명) 등 겨울철에 가장 많다.
심뇌혈관 질환으로 인한 사망자가 겨울에 많은 이유는 기온이 내려가면 우리 몸의 혈관은 급격히 수축되는데 이런 좁아진 혈관으로 혈액이 흐르다가 심장 혈관이 막힐 경우 급성심근경색과 같은 질환을 일으킬 수 있고, 또한 많은 혈액을 좁아진 혈관으로 보내기 위해 심장이 무리를 하게 되면 여러 가지 심장병의 발생률이 올라가기 때문이다.
뇌도 마찬가지로 좁아진 혈관으로 혈액이 흐르다가 약해진 혈관 부위가 터지거나 막히게 되면 뇌출혈이나 뇌경색과 같은 뇌졸중을 일으키게 돼 겨울철엔 심뇌혈관 질환을 조심해야 한다.
돌연사의 80~90% 차지하는 급성심근경색
우리 주위를 둘러보면 건강 했던 사람이 어느날 갑자기 돌아가셨다고 하는 이야기를 들을 때가 있다. 이런 갑작스런 죽음을 보통 ‘돌연사’라고 한다. 대부분 겉으로는 건강해 보였을지 몰라도 신체 내에서는 여러 가지 문제들이 발생하고 있었던 경우가 많다.
특히 돌연사의 80~90%를 차지하는 급성심근경색은 발견 즉시 치료를 한다고 해도 사망률이 30~40%가 넘고, 증상이 심각하면 1~2시간 내에 사망할 수도 있다. 급성심근경색은 누구도 예외 일 수 없기 때문에 평소에 심근경색에 대해 바로 알고 예방하는 습관을 가지는 것이 중요하다.
심근경색이란?
심장은 크게 세 가닥의 관상동맥을 통해 필요한 산소와 영양분을 공급 받는데, 이 관상동맥이란 이름은 세가닥의 동맥이 심장을 관처럼 감싸고 있다고 해서 붙여졌다.
심장에 산소와 영양분을 공급하는 혈관인 관상동맥 혈관벽에 콜레스테롤이 침착되면 죽상반이 생성된다. 그렇게 혈관이 좁아지다가 염증으로 인해 죽상반이 터지고 혈전(피떡)이 생성되면서 혈관이 완전히 막히게 된다. 이렇게 막힌 혈관 때문에 심장 근육(심근)에 혈액공급이 제대로 되지 않으면 심장 조직이 괴사 되는 상황에 이른다. 다시 말해 심근경색은 관상동맥의 내부가 혈전으로 완전히, 또는 부분적으로 막혀 심장 조직이나 근육이 썩는 질환이다.
이렇게 심장 혈관이 막혀 심장에 혈액 공급이 안 되면 심장 근육세포는 죽게 되고, 이렇게 죽은 심장근육은 다시는 되살아나지 않게 된다.
특히 겨울에 심근경색의 발생률이 높아지는 이유는 우리 몸의 혈관은 외부 온도에 매우 민감해서 기온이 내려가면 즉각적으로 수축 반응을 보이기 때문이다. 많은 혈액이 갑자기 좁아진 혈관을 통과 하면서 혈압과 맥박수가 높아지고 이런 현상은 심장 혈관 내에 혈전 발생의 위험을 높이게 된다.

사람마다 다른 심근경색 증상
급성심근경색은 특별한 증상 없이 갑자기 발병하는 경우가 많은데 혈관에 노폐물이 쌓여 있지만 혈액 순환 장애를 일으킬 정도로 심하지 않은 경우 평소에 증상을 느끼기 힘들다. 또한 심근경색 증상은 사람에 따라 그리고 질환의 상태에 따라 다를 수 있다.
대부분 심근경색이 발생할 때의 대표적인 증상은 바로 가슴을 쥐어짜는 듯한 가슴통증이다. 이 같이 심한 가슴통증은 30분 이상 지속되기도 하며, 대부분 호흡곤란과 함께 나타난다.
또 가슴의 정중앙이나 약간 좌측에서 시작된 통증은 어깨나 목, 팔로 퍼져나가는 방사통을 일으키기도 하고, 호흡 곤란이나 심장 두근거림, 식은 땀, 구역질, 어지러움, 소화 불량 등이 함께 발생하기도 한다.
환자에 따라서 가슴 통증을 호소하기도 전에 갑작스런 의식 불명이나 심장마비로 응급실에 실려 가는 경우도 있으며, 많은 분들이 가슴 통증을 소화불량으로 오인해 치료시기를 놓치는 경우도 많다.
또 가슴 통증 없이 구토를 하거나, 소화가 안 되는 느낌, 속이 쓰린 느낌, 명치나 턱 끝이 아픈 경우도 있기 때문에 만일 본인이 심근경색 위험군일 경우 미리 심장 검사를 받아보는 것이 좋다.
협심증은 혈관이 좁아져 가슴통증, 호흡곤란이 나타나기 시작한 경우의 증상이다. 정도가 심해질수록 불안정 협심증, 심근경색의 단계가 된다. 안정형 협심증 상태의 가슴 통증은 계단을 빨리 올라가거나 활동을 심하게 하면 나타났다가 쉬면 사라지고 통증의 정도가 참을 만하다.
그러나 혈관이 더 좁아지게 되면 운동과 관계없이 안정 시에 통증이 발생하게 되고, 심근경색의 단계가 되면 통증의 정도가 매우 심해 죽을 것 같은 극심한 통증이 갑작스럽게 나타나는 차이가 있다.
급성심근경색 위험 요소
급성심근경색의 위험을 높이는 요소로는 흡연과 고지혈증, 고혈압, 당뇨병 등 만성 질환이다. 만성질환이 있을 경우 일반인 보다 6배 정도 더 위험한 것으로 알려져 있으며, 이 같은 만성질환을 제대로 관리하지 않을 때 위험은 더 높아진다.
또 가족 중 심장질환으로 사망한 가족력이 있는 경우 그 위험이 3~4배 높은 것으로 알려져 있으며, 이 외에 비만, 육식 위주의 식습관 등도 심근경색의 위험을 높일 수 있다.
이렇게 위험요소가 많은 환자의 경우에 애매한 흉통이 있다면 선별검사를 통해 심근경색 위험을 예측할 수 있다. 바로 운동부하검사와 관상동맥 CT 검사다. 최근 선별적인 고위험 환자에서는 증상이 없어도 관상동맥 CT 검사를 통해 추후 심근경색 및 심혈관 합병증의 위험을 예측할 수 있는 연구들이 발표됐다.
급성심근경색의 치료
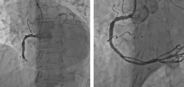
극심한 가슴 통증이 지속되면 무엇보다 최대한 빨리 관상동맥중재술이 가능한 병원으로 가야 한다. 급성심근경색으로 진단되면 막힌 혈관에 스텐트(금속 그물망)를 넣어 혈전으로 막힌 혈관을 뚫고 다시 피가 흐를 수 있도록 한다. 이렇게 스텐트로 막힌 관상동맥혈관을 뚫는 것을 관상동맥중재술이라고 한다.
급성심근경색으로 심장마비가 발생하면 4분 이내 심폐소생술과 함께 가능한 빨리 막힌 심장혈관을 뚫는 치료를 받아야 한다. 심장동맥의 폐쇄가 시작된 지 20분 이내에 심장 근육의 안쪽에서부터 괴사가 시작 돼 2~4시간 후에는 바깥쪽까지 진행해 심장 근육의 전체를 이른다.
대개 발병 직후 병원에 도착하기 전에 약 30%가 사망하며, 병원에 도착해서 적극적인 치료를 하더라도 사망률이 5~10% 이른다. 만약 급성 심근경색증이 의심되면 응급 관상동맥중재술이 가능한 병원 응급실로 빨리 가서 적절한 치료를 받아야만 후유증과 돌연사를 막을 수 있다.
과거에는 심근경색증을 치료하기 위해 혈전 용해제를 많이 사용했다. 하지만 일부 환자에게선 효과가 적고, 고위험 환자에서는 뇌출혈의 위험성이 있으며, 혈전이 뚫리더라도 시간이 많이 걸려 치료 효과가 떨어졌다. 최근엔 말초 혈관을 통한 시술인 관상동맥중재술(스텐트 삽입술)을 주로 시행한다.
