서울성모병원 정미향 교수팀, 다학제 영상 검사를 초기 진단·치료 경과 확인에 활용
심장초음파에 양전자단층촬영 보조 활용 시 심장 내 염증 개선 정량적으로 확인 가능
[메디칼업저버 박선혜 기자] 새로운 다학제 접근으로 결핵성 심낭염을 성공적으로 진단 및 치료할 수 있는 것으로 조사됐다.
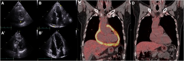
가톨릭대 서울성모병원 심뇌혈관병원 순환기내과 정미향(교신저자), 핵의학과 오주현(공동 제1저자) 교수 연구팀은 심장초음파와 양전자단층촬영(18F-FDG PET/CT)의 다학제 영상 검사를 결핵성 심낭염 초기 진단뿐 아니라 치료 경과 확인에 이르기까지 활용해 효과적으로 치료했다.
결핵성 심낭염은 심장을 보호하는 심낭에 결핵균이 감염돼 삼출액이 가득 차 심장을 압박하고 심부전을 일으키는 질환이다. 주로 흉통, 기침, 호흡곤란 등 증상과 함께 발열, 식은땀, 피로 및 체중 감소와 같은 비특이적 전신 증상을 동반하는 경우가 많다. 이번에 발표된 사례의 70대 환자 역시 호흡곤란을 호소하며 내원했다.
지금까지 결핵성 심낭염의 감별 진단으로 심장초음파, CT, MRI, 양전자단층촬영을 비롯한 각종 영상 검사와 검체 검사를 병행하는 복합적인 전략이 제시됐다. 하지만 치료 후 경과 평가 방법은 구체적으로 정립되지 않았다.
연구팀 조사 결과, 심장초음파 검사에 양전자단층촬영을 보조적으로 활용하면 환자의 심낭 내 염증 개선 정도를 정량적으로 확인할 수 있어 치료 평가에 유용했다.
결핵성 심낭염은 일반적으로 6개월간 항결핵제를 복용 후 치료를 종료한다. 그러나 염증의 충분한 개선 여부를 심장초음파만으로 정확히 알기 어려운 한계가 있었다. 양전자단층촬영을 보조적으로 활용해 치료 종료 시점의 염증 수준을 파악할 수 있다면 결핵성 심낭염 재발이나 합병증으로 인한 유착성 심막염 위험을 최소화하면서 개별화된 맞춤형 치료 전략을 수립할 수 있다.
양전자단층촬영은 종양 세포나 염증 부위에서는 정상 세포 대비 포도당 사용량이 현저히 높은 특성을 이용해, 동위원소가 함유된 포도당 유사체를 체내 주입 후 상대적으로 밝게 빛나는 부위의 형태를 확인하는 검사다. 기존에는 주로 암환자의 진단 및 추적 관찰용으로 활용됐으나, 최근에는 염증 유무 및 정도를 확인하기 위한 검사로도 사용되고 있다.
정미향 교수는 "지금까지 양전자단층촬영은 심낭질환의 초기 감별 목적에 한해 유용함을 인정받았다. 하지만 이번 연구를 통해 치료 후 경과를 평가하는 데도 충분한 가치가 있음을 확인했다"며 "전체 결핵 환자 중 1~2% 내외가 결핵성 심낭염으로 이환되는 만큼, 지속적인 연구를 통해 고령 비율이 높은 결핵성 심낭염 환자에게 더 안전한 진료를 제공하고자 힘쓸 것"이라고 밝혔다.
한편 이번 연구 결과는 European Heart Journal - Cardiovascular Imaging 3월 27일자에 실렸다.
