분당서울대병원 윤창호 교수팀, 수면무호흡증에 의한 아밀로이드 침착 확인

국내 연구팀이 '수면무호흡증'이 '알츠하이머병'의 발병 위험을 높인다는 연구결과를 발표했다.
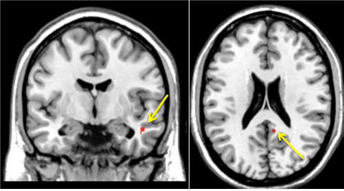
서울의대 윤창호 교수(분당서울대병원 신경과)팀이 수면무호흡증이 알츠하이머병 발병 위험을 높인다는 연구를 발표했다. 이 논문은 '수면무호흡증'에 의한 아밀로이드 침착을 사람 뇌에서 확인한 세계 최초의 연구결과다.
최근 수면무호흡증이 치매 발생이나 인지기능 악화를 초래한다는 연구결과들이 발표되어 왔다. 하지만 고령인 70-80대를 대상으로 연구했다는 제한이 있었고, 치매의 원인을 알츠하이머병으로 특정하지 않았다는 한계가 있었다.
윤창호 교수는 "깨어 있는 동안 뇌 세포 활동으로 조직 내에 쌓인 아밀로이드는 수면 중 뇌를 감싸고 있는 뇌척수액을 통해 배출된다. 또 수면무호흡증에 의한 수면 질 저하가 아밀로이드의 배출을 방해해 뇌에 쌓인 것"이라며 "수면무호흡증에 의한 반복적 각성과 저산소증이 아밀로이드 생산을 증가시킬 수 있다. 수면 중 잦은 각성은 휴식을 취해야 할 뇌세포를 억지로 활동시키는데, 이러한 신경 활동과 저산소증은 아밀로이드 생성을 촉진한다"고 설명했다. .

또 "알츠하이머병은 보통 65세 이후에 시작하지만, 원인이 되는 아밀로이드 침착은 이보다 앞선 40-50대에 시작되기 때문에 이 연령대의 대상자를 통해 수면무호흡증에 의한 아밀로이드 침착이 이미 시작됐음을 확인했다"며 "알츠하이머병이 생긴 이후에는 쌓인 아밀로이드를 제거해도 질병 진행과 증상의 경감에는 아무런 효과가 없어 아밀로이드 침착을 막기 위해 미리미리 수면무호흡증을 치료할 필요가 있다"고 강조했다.
이는 질환이 이미 진행한 단계, 즉 알츠하이머병이 발병한 후에는 원인을 교정해도 치료가 어렵다는 의미다. 때문에 아밀로이드 침착이 시작되는 중년 성인 시기에 수면무호흡증 여부를 확인하고 지속적양압기치료(CPAP)와 같은 효과적인 치료를 시행하는 것이 알츠하이머병의 위험이나 진행을 늦추는데 기여할 것으로 보인다.
이 연구는 알츠하이머병 저널 최신호에 발표했다.
한편 이번 연구는 질병관리본부 산하 안산 지역사회기반코호트 참여자를 대상으로, 분당서울대병원 뇌신경센터 윤창호 교수, 이호영 교수, 고려대 안산병원 호흡기내과 신철 교수, 하버드의대 로버트 토마스 교수, 더글라스 그리브 교수, 보스턴대학 로다 오 교수 간 공동 연구로 진행됐다.
