강남세브란스 정준 교수팀, 비종괴성 조영증강 진단 정확도 측정
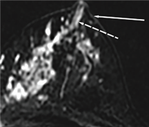
유방 MRI 상 비종괴성 조영증강 유두 침범시 복합체 절제 필요
[메디칼업저버 김나현 기자] 국내 연구진이 유방암 환자의 유두-유륜 복합체 보존 유방 전절제술 가능 여부를 정확히 평가할 수 있는 기준을 제시했다.
강남세브란스병원 정준·배숭준 교수(유방외과), 차윤진 교수(병리과)팀은 정밀한 병리학적 평가를 통해 수술 전 유방 자기공명영상(MRI) 상 유륜 하 비종괴성 조영증강(Non-mass enhancement, NME)의 진단 정확도를 측정한 연구결과를 발표했다.
유방 MRI는 유방암 병변의 범위를 가장 정확하게 평가할 수 있는 진단 방법이다.
유방 MRI에서 관찰되는 '비종괴성 조영증강'은 암세포가 덩어리져 보이는 '종괴성 병변'과 다르게, 덩어리 없이 불규칙한 형태로 흩뿌려 놓은 것처럼 보이는 이미지를 말한다.
수술 전 암 병변이 유두를 침범하거나 유두에서 근거리 내에 위치하면, 유두-유륜 복합체 보존 유방 전절제술을 시행하지 않는 것으로 권고되고 있다.
하지만 유두를 침범하거나 유두에서 근거리 내에 있는 암 병변은 유방 MRI 상 종괴성 병변보다는 흔히 비종괴성 조영증강의 형태로 보이는 경우가 많으나, 이에 대한 진단 정확도는 잘 알려지지 않았다.
연구팀은 2017년 11월부터 2019년 11월까지 유방 MRI 상 비종괴성 조영증강이 유두에서 2cm 이내로 위치해 유두-유륜 복합체를 제거하는 유방암 수술을 받은 64명의 환자를 대상으로 정밀한 병리학적 평가를 통해 비종괴성 조영증강의 진단 정확도를 분석했다.
또 수술 시 제거된 유두-유륜 복합체 전체를 세분화해 유방암 세포의 유두-유륜 복합체 침범 여부와 유방암 세포가 유두-유륜 복합체 미침범 시 유두에서 유방암 세포까지의 최소 거리를 병리학적으로 평가했다.
그 결과 유방암 환자 총 64명 중 49명(77%)에서 유방 MRI 상 비종괴성 조영증강의 유두-유륜 복합체 침범이 확인됐다.
49명의 환자 중 병리 검사 상 유방암 세포의 유두-유륜 복합체 침범이 관찰된 환자는 42명으로, 비종괴성 조영증강의 유두-유륜 복합체 침범의 양성 예측율(positive predictive value)은 86%로 나타났다.
유방 MRI 상 비종괴성 조영증강이 유두-유륜 복합체에서 2cm 이내로 근접하지만 침범하지 않은 15명 중에서, 병리 검사상 1명(7%)에서만 유방암 세포의 유두-유륜 복합체 침범이 관찰됐다.
또 유방 MRI에서 측정한 유두-유륜 복합체와 비종괴성 조영증강 간의 최소 거리와 병리학적 조직 검사에서 측정한 유두-유륜 복합체와 유방암 세포 간의 최소 거리는 높은 일치율(상관 계수 0.71, P-value 0.003)을 보였다.
정준 교수는 "유방 MRI 상 종괴성 병변보다는 비종괴성 조영증강이 유두를 침범하거나 유두에서 근거리 내에 있는 경우가 훨씬 많지만, 현재까지 정밀한 병리 검사를 기반으로 한 비종괴성 조영증강의 진단 정확도를 평가한 연구는 없었다"고 설명했다.
이어 "이번 연구를 통해 유방 MRI 상 비종괴성 조영증강이 유두를 침범한 경우 실제로 86%에서 병리 검사상 암세포의 유두 침범이 관찰된 것이 확인됐다"라고 말했다.
배숭준 교수는 "다만 비종괴성 조영증강이 유두에 가까워도 유두 침범 소견이 없을 때 병리 검사상 암세포의 유두 침범 비율은 7%로 매우 낮았다. 추가적인 연구가 필요하지만 이런 경우에는 유두-유륜 복합체 보존 수술을 조심스럽게 시도해볼 수 있겠다"라고 말했다.
