우리들병원 은상수 원장, 탈로브씨 낭종 주사로 흡입 치료
국제학술지 ACR (AME case report)에 발표
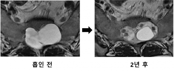
2년 후에도 재발 없이 작아진 낭종 크기 유지
[메디칼업저버 박선재 기자] 국내 연구팀이 천골에 발생한 척추 물혹을 수술하지 않고 주사로 흡인해 치료하는 방법을 소개했다.
척추전문 청담 우리들병원(회장 이상호, 원장 배준석) 은상수 진료원장은 최근 국제학술지 ACR(AME case report) 최신호에 ‘CT 가이드 경피적 탈로브씨 낭종 흡인술에 대한 2년 추적 연구’ 결과를 발표했다.
천골 즉 꼬리뼈에 물혹이 생기는 탈로브씨 낭종(Tarlov’s cyst)은 초기에는 별다른 증상이 없다가 척추 물혹이 커지면 신경이 눌려 다리저림, 허리통증, 항문 감각이상이 발생하는 질환이다.
증상이 심할 경우 적극적인 치료가 필요한데, 꼬리뼈 주사치료는 증상이 금방 재발되고 수술은 합병증 위험이 따른다.
은상수 원장은 탈로브씨 낭종 치료에 있어 CT 영상을 확인하면서 정확하고 안전하게 낭종을 흡인하는 새로운 방식의 주사치료를 시행해 좋은 결과를 얻었다.
이 시술은 국소마취 하에서 시행되며 CT 영상을 확인하며 바늘을 병소에 정확히 위치시켜 척추 물혹을 흡인하기 때문에 바늘이 들어가는 과정에서 신경이 다칠 위험성이 적고, 낭종의 크기를 효과적으로 줄일 수 있는 것이 특징이다.
논문에 따르면 탈로브씨 낭종 증후군 환자에게 이 시술을 시행해 척추 물혹 안의 뇌척수액을 뽑아낸 결과, 통증이 유의미하게 호전됐고 2년 후 촬영한 MRI에서도 척추 물혹이 시술로 작아진 크기를 유지하며 척추 신경을 압박하지 않는 것으로 확인됐다.
보통 흡인 주사치료 후 재발이 흔한데 비해 줄어든 낭종 크기가 2년 이상 유지된 것이다.
은상수 원장은 “탈로브씨 낭종은 꼬리뼈 주사, 단순 흡인, 흡인 후 피브린 글루 주사, 수술적 제거 순으로 환자 몸에 부담이 덜 되는 간단한 치료부터 순서대로 해봐야 한다. 흡인 치료는 국소마취 하 외래에서 할 수 있고 바로 활동이 가능한 것이 장점이다” 라고 설명했다
