분당서울대병원 김기웅 교수팀, 한국 노인 표준뇌 개발

국내 연구팀이 '한국 노인의 표준 뇌'를 개발했다.
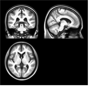
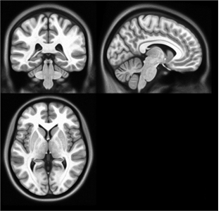
서울의대 김기웅 교수(분당서울대병원 정신건강의학과)가 뇌질환이 없는 60세 이상 정상 노인 96명의 MRI를 분석해 '한국 노인의 표준 뇌'를 개발했다고 21일 발표했다.
세계적으로 사용되는 뇌의 표준판은 60세가량에 사망한 프랑스 여성들의 부검으로 도출된 'Talairach atlas'라는 것인데, 이 표준판은 대표성의 측면에서 문제가 있을 수 있다는 비판이 있어왔다.
이에 따라 국제뇌지도협회(ICBM; The International Consortium for Brain Mapping)에서는 여러 표준뇌를 만들어왔는데, 이 역시도 연령이나 인종 등의 표현 그룹 범주를 제대로 나타내지 못해 사용에 어려움이 있었다.
특히 우리나라를 포함한 동양인의 뇌는 서양인의 뇌와 비교해 환경이나 유전 등의 요인으로 크기와 형태 등에 큰 차이가 있는데, 서양인의 표준뇌를 사용함으로 인해 진단과 연구 등에서 정보의 손실과 오차 등이 발생할 위험이 컸었다.
이러한 문제를 해결하려고 김 교수는 60세 이상의 우리나라 노인 96명의 MRI 영상으로 '한국 노인'의 표준뇌를 개발하게 된 것이다. 한국노인의 뇌 모양을 대표하는 표준뇌인 만큼, 뇌의 형태에 영향을 줄 수 있는 다양한 질환들을 포괄적이고 정밀한 임상 검사를 통해 철저히 배제하는 등 엄격한 대상 선정 과정을 거쳤다.


분석 결과 예상대로 서양인의 표준 뇌와 한국 노인의 표준 뇌는 크게 달랐다. 좌우 폭의 경우 한국 노인이 약간 넓고 앞뒤 길이와 상하 높이는 서양인이 큰 차이로 길거나 높았다.
이 차이를 바탕으로 한국인의 뇌 영상을 분석할 때 서양인의 표준뇌를 사용하면 발생할 수 있는 오류의 정도를 측정한 결과, 많은 왜곡이 발생할 수 있는 것으로 나타났다.

김 교수는 "치매나 혈관성 우울증 등 노인의 뇌질환과 관련해 표준뇌를 통한 분석이 매우 중요한데, 한국 노인의 표준뇌가 없어 정확한 연구 결과를 도출하는데 어려움이 있었다"며 "이번 연구를 통해 서양 표준뇌를 대체할 수 있게 됐다"고 발표했다.
또 "한국 노인 환자군만을 대상으로 표본 데이터베이스를 구축해 건강대조군으로 활용할 수 있어 향후 연구의 비용 절감과 기간 단축에 큰 도움을 받을 수 있을 것"이라며 기대감을 드러냈다.
이번 연구결과는 대한신경정신의학회지 최근호에 실렸으며, 한국 노인의 표준뇌 자료는 치매극복연구센터 홈페이지(http://recode.webnode.kr/news/kne-korean-normal-elderly-group-template/)에서 누구나 무료로 내려받을 수 있다.
